Case Study of a Dog with a Spinal Condition – Part 1 of 4
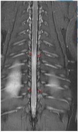
I’ve recently been working with a canine client, Willow, who has been experiencing loss of strength and sensitivity in her hind legs. The vet diagnosed a lesion, within her spinal canal but outside of the spinal cord, causing compression at the T7 vertebra and resulting in weakness and loss of sensation.
Over the next 4 weeks I’ll describe how Willow’s owner, another therapist, and I have worked together to support Willow and I’ll also share how she’s doing now.
I began by taking a history of Willow’s condition and reading the vet report. Having done a basic META-Health analysis I felt that, in addition to the Reiki that I would be offering, she would benefit from a zoopharmacognosy (self selection) session and so I recommended Rachel Windsor-Knott of My Animal Matters, particularly as she now offers consultations via Skype.
Willow’s owner went ahead with this straight away, contacting Rachel, filling in the consultation form and booking in a session, which I was also able to attend.
Rachel had put together a box of oil and herb samples that, having read the vet report and Willow’s information, she thought Willow might find helpful. She started by asking the owner to offer the Ginger essential oil (warming, soothing and analgesic). Willow sniffed and accepted the oil – a gentle ‘yes’.
Rachel then moved on to Peppermint and Birch (on cloths) both of which Willow sniffed, seeming to favour the Peppermint. (Peppermint is an anti-inflammatory, a digestive stimulant – often selected by animals taking strong painkillers – and can help in cases of nerve damage as it is clarifying and stimulating. Birch can be good for inflammatory pain, muscular aches and trapped nerves.)
Next was German Chamomile which Willow again accepted. (This oil can be beneficial in cases of anxiety and tension and can help to support inflamed tissues.)
Next week I’ll cover some of the other remedies that Willow selected including macerated oils, flower water and some more essential oils.
(You can read the whole article here)
My journey into working in the field of Wellbeing began when I joined an online course in Evolutionary Enlightenment. This caused me to take a hard look at my life – my career, my direction, my purpose – and question whether or not it was really right for me. The answer was No. I was lost, struggling and unhappy.
Searching for something that would resonate for me and that would support my need to grow, I started learning Reiki which, in a roundabout way, led me back to one of my passions: animals. Horses in particular hold a very special place in my heart. I love supporting owners to explore their horse’s physical and emotional needs.
I went on to study Energy Healing, Emotional Freedom Techniques and META-Health because I also love supporting other women who are experiencing similar experiences of stress and overwhelm. I love holding a safe space where they can discover that they have always had choices and the power to make their own decisions.
email: robyn@equenergy.com
mobile: 07980 669303
Skype: by appointment only to ensure that I am in the office and available to take your call. Please contact me to arrange a date and time
